INTRODUCTION
Local reactive focal overgrowths are frequently found in the oral cavities. Fibroma of gingiva is clinically presented as slow growing, well-demarcated growth, usually with normal colored mucosa and smooth surface, sessile or pedunculated base, and hard consistency,[1] causing difficulty in mastication and speech. Different types of localized reactive lesions may occur on the gingiva including focal fibrous hyperplasia, pyogenic granuloma, peripheral giant cell granuloma, and peripheral ossifying fibroma.[2-4] The etiological factors for the fibroma can be attributed to the local irritants such as plaque, calculus, overhanging margins, trauma, and dental appliances.[4,5] The size of the growth is generally smaller than 1.5 cm, although there are few reports of 4–6 cm.[6,7] Irritation fibroma is most commonly prevalent in anterior region and usually associated with interdental papilla. Cases in the posterior teeth region are rare in the literature. This paper reports a case of irritational fibroma in a 22-year-old female in relation to the mandibular anterior region since 5–6 months.
CASE REPORT
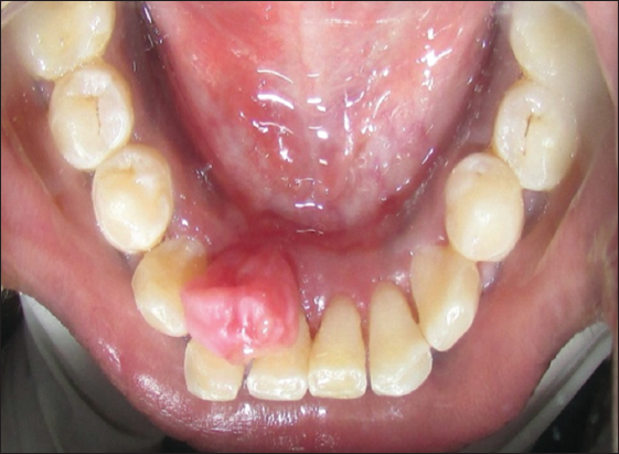
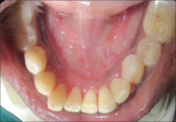
A 22-year-old female patient was reported to the outpatient department with a chief complaint of a growth in the lower front teeth region since 5–6 months earlier with no relevant medical history. The lesion was gradually increased in size from the interdental papilla of lower left lateral incisor with a history of difficulty in mastication and speech. Intraoral clinical examination revealed a pedunculated firm in consistency and well-defined growth in relation to 31, 32, and 33 on the lingual side measuring approximately 1 cm × 1 cm in diameter, extending from distal surface of 31 to mesial surface of 33, upper border covers the middle third level of 31, 32, and 33 pink in color, roughly oval, with overlying smooth surface, and surrounding mucosa is normal and borders are well defined [Figure 1]. On palpation, the growth is non-tender, firm in consistency, mobile, and having pedunculated base. Labial vestibule was apparently normal with respect to 31, 32, and 33 hard tissue examination revealed normal.
Figure 1: Pre-operative
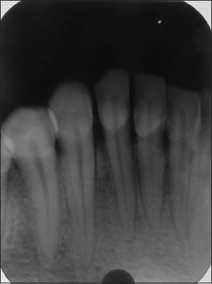
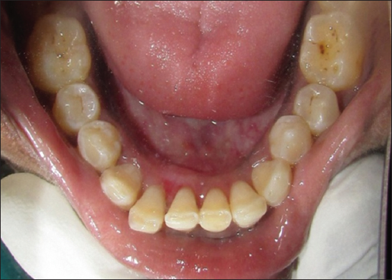
On the basis of history and clinical findings, a provisional diagnosis of irritation fibroma was given. The list of differential diagnosis included chronic fibrous epulis, peripheral giant cell granuloma, osteosarcoma, chondrosarcoma, pyogenic granuloma, and peripheral odontogenic fibroma. The investigations included complete hemogram, intraoral radiographs, and excisional biopsy of the lesion. Routine hematological investigation values were also found to be within normal limits. No radiographical changes related to the bone were seen [Figure 2]. As the patient reported discomfort during eating and while speaking, it was decided to go for an excisional biopsy performed under local anesthesia using a scalpel [Figure 3]. The excised tissue [Figure 4] was sent to the department of oral pathology for histopathological examination and H and E stained section revealed parakeratinized stratified squamous epithelium with elongated rete ridges. Irregular multiple foci of homogenous calcified areas were evident within the connective tissue. Thus, a final diagnosis of irritation fibroma was given [Figure 5]. Patient was recalled after 1 week for revaluation which shows satisfactorily healing and patient was asked to maintain oral hygiene [Figure 6]. No recurrence of fibroma was seen when patient was recalled after 6 months for follow-up [Figure 7].
Figure 2: IOPA irt 31, 32, 33, 41, and 42
Figure 3: Immediate post-operative
Figure 4: Gross specimen of excised tissue
Figure 5: Histological picture of irritational fibroma
Figure 6: 1 week post-operative
Figure 7: 6 months post-operative
DISCUSSION
The “inflammatory hyperplasia” is non-specific term used to appreciate nodular growths of the oral mucosa that histologically shows inflamed granulation tissue.[4,8,9] Epulis is often referred to a similar lesion on the gingival and size of these masses (hyperplastic) may be smaller or larger, which depend on components of inflammatory reaction and response of healing are overemphasized in particular lesion.[4,10] Different synonyms for irritational fibroma are focal fibrous hyperplasia or fibromatosis fibroma.[10]
Campos and Gomez[11] and Weathers and Campbell[12] suggested that the stellate and multinucleate cells of giant-cell fibroma have a fibroblast phenotype and are large atypical fibroblasts. A variety of cutaneous lesions such as the fibrous papule of the nose, ungual fibroma, acral fibrokeratoma, and acral angiofibroma containing similar stellate mono- and multinuclear giant cells have been described in humans. The main similarity between this group of cutaneous lesions and the giant-cell fibroma is their histologic appearance. The differences are that the skin lesions have not been associated with oral lesions, and they do not show same frequency of occurrence and age distribution.
Traumatic or irritational fibroma is a common, benign, exophytic, and reactive oral lesion that develops secondary to injury and constitutes about 7.4% of oral soft tissue lesions.[13,14] Irritational fibroma is also known as focal fibrous hyperplasia, oral fibroma, or fibromatosis fibroma. It shows female predilection than males and seen more frequently in the third and fourth decade of life.[15] Approximately 60% of irritation fibromas involve the maxilla and more often found in the anterior region, with 55–60% present at the incisor-cuspid region.[16]
Clinical features comprise sessile or pedunculated masses with smooth or injured surfaces and are seen in different colors ranging from pale to bright pink to red.[17,18] As in our case report, we are presenting the case of a 22-year-old female. The high female predilection and a peak occurrence in the first and second decade and declining incidence after the third decade of life suggested hormonal influences. The frequency of irritational fibromas is found to be more in maxilla than the mandible and more often in incisor-cuspid region, ranging between 55% and 62%.[16] In our case, lesion was present in relation to 31, 32, and 33 tooth region. Diameter of these lesions usually measures <1.5 cm and more than 3 cm in rare cases. In very few cases, lesions of 6 cm and 9 cm have also been reported. The surface of lesion may be ulcerated in 66% of cases and intact in 34% of cases.[19] In our case, the diameter of lesion was 1 cm × 1 cm in diameter.
Histopathologically, irritation fibroma can appear as an intact or ulcerated stratified squamous epithelium along with shortening and flattening of rete pegs. Treatment of irritation fibroma consists of elimination of etiological factors, scaling of adjacent teeth, and total aggressive surgical excision along with involved periodontal ligament and periosteum to minimize the possibility of recurrence. Any identifiable irritant such as an ill-fitting dental appliance and rough restoration should be removed.[15]
Long-term post-operative follow-up is extremely important because of the high rate of reoccurrence of incompletely removed lesion. Recurrences are rare and may be caused by repetitive trauma at the same site. The lesion does not have a risk for malignancy.[20]
CONCLUSION
Irritational fibroma clinically resembles with other lesions named as pyogenic granuloma and peripheral giant-cell granuloma. Hence, proper histopathologic investigation and radiographic evaluation are necessary for accurate and final diagnosis. In addition to this, an early detection and treatment of this reactive lesion by the dentist can reduce the chances of dentoalveolar complications. Furthermore, awareness of the incidence and description of these kinds of lesions can help the clinicians to make a better diagnosis and offer optimal treatment.






